鼻子里怪味竟是八年前的囊肿复发

2025-12-29 10:58:34 今日推荐 来源:水母网

烟台市口腔医院——精准诊治,一个不“瘤”

2025-12-29 10:58:49 今日推荐 来源:水母网

烟台市奇山医院知名专家坐诊信息(12.29-1.4)

2025-12-27 18:25:00 今日推荐 来源:奇山医院

从无法行走到步行购物:一次浮针治疗改变她的生活

2025-12-25 18:45:00 今日推荐 来源:水母网

三级查房制度:层层守护 筑牢医疗质量安全防线

2025-12-25 18:45:00 今日推荐 来源:奇山医院

烟台毓璜顶医院成功承办2025年烟台市医学会心血管外科学术会议

2025-12-25 10:45:51 今日推荐 来源:烟台毓璜顶医院

“家门口”看名医 北京胸科医院专家坐诊预告

2025-12-22 18:40:00 今日推荐 来源:奇山医院

关注这个指标 别让“沉默的肝”悄悄硬化

2025-12-22 18:30:00 今日推荐 来源:奇山医院

12月25日北京胸科医院胸外科知名专家刘树库来院坐诊

2025-12-21 18:30:00 今日推荐 来源:奇山医院

烟台市奇山医院知名专家坐诊信息(12.22-12.28)

2025-12-20 19:05:00 今日推荐 来源:奇山医院

注意!这种肿瘤青少年常见!

2025-12-18 10:45:26 今日推荐 来源:水母网

十年不痛不痒?“小疙瘩”竟是“大麻烦”

2025-12-18 10:45:02 今日推荐 来源:水母网

五年三次复发!与口腔肿瘤的“持久战”

2025-12-18 10:43:44 今日推荐 来源:水母网

全国知名肾脏病科专家周伟教授坐诊预告

2025-12-16 18:45:00 今日推荐 来源:奇山医院

“家门口”看名医 北京胸科医院专家坐诊预告

2025-12-15 18:55:00 今日推荐 来源:奇山医院

烟台市奇山医院知名专家坐诊信息(12.15-12.21)

2025-12-13 18:20:00 今日推荐 来源:奇山医院

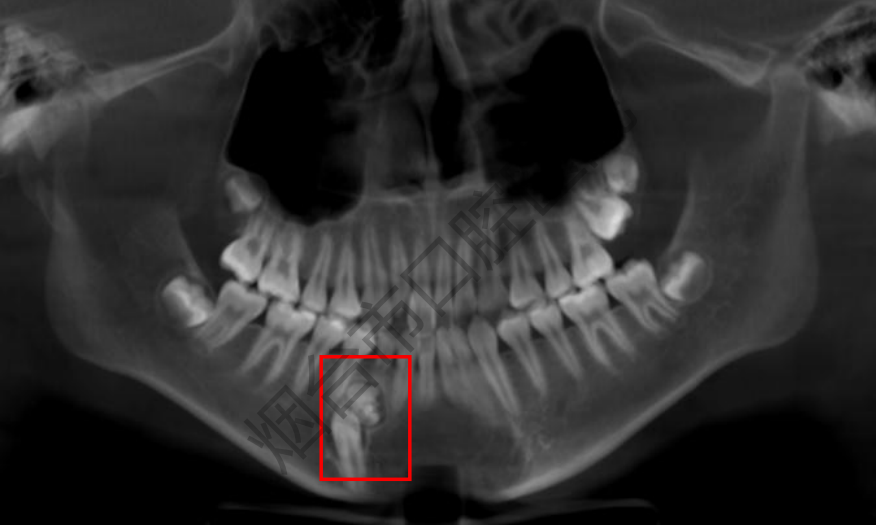
精准诊治:一张牙片,化解颌骨“隐形危机”

2025-12-12 16:18:15 今日推荐 来源:烟台市口腔医院

1  2  3  4  5  


  • 铭记历史 缅怀先烈

  • 防范非法金融活动宣传专栏

  • 锲而不舍落实中央八项规定精神

  • 在习近平新时代中国特色社会主义思想指引下 大省挑大梁

  • “绿动”出发 我国首艘近海航区新能源散货船在烟台港投运

  • “三九”游西湖

  • 冰湖腾鱼 冬捕魅力

  • 海南冬季瓜菜陆续上市

  • 古长城“邂逅”冰雪热

  • “三九”天 露芳容

  • 滨海时光

  • “循声”长江,感受生态之美

  • 欧洲寒潮来袭 交通受阻民生承压

  • 10万吨级以上邮轮“理想”号在青岛维修