2025-12-29 10:58:19
来源:水母网
水母网12月29日讯(通讯员 王茜玮 李姝慧)在烟台市口腔医院东院区二楼颞颌关节门诊诊室里,顾女士正牵着12岁的女儿晓涵一脸焦急:“孩子总说吃东西的时候下巴疼,张嘴还‘咔哒咔哒’响,疼的时间有两年多了,我们做家长的一直也没太关注。前两天我一看,孩子怎么大小脸了,我就赶紧带她去了医院。”当地医院接诊后,怀疑是颞下颌关节紊乱病,推荐来到烟台市口腔医院寻求进一步检查治疗。
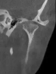
医生检查发现,晓涵张嘴时关节弹响明显,按压耳前区域会皱眉喊痛。拍摄CBCT后显示:她的颞下颌关节髁突(下巴连接的“关节头”)出现了轻微骨质磨损。顾女士瞬间慌了:“这会不会影响孩子长脸?骨头磨坏了还能好吗?”
精准治疗:3个月的“咬合板魔法”
针对晓涵的情况,颞颌关节门诊的医生定制了个性化咬合板。1个月复诊时,晓涵的关节弹响频率减少,吃饭时的疼痛感基本消失;
3个月复诊时,CBCT显示,晓涵的髁突骨质磨损的区域已经开始修复,张嘴幅度恢复正常,弹响也几乎消失了。顾女士看着报告松了口气:“没想到‘戴个牙套’就能把骨头养回来!”目前晓涵情况稳定,现在正在进行后续的牙齿矫正,让排列不齐导致咬合不好的牙齿慢慢长到正常位置。

治疗前1

治疗后1

治疗前2

治疗前2
科普:什么是颞下颌关节紊乱病?
·为什么会得关节病?
①人类的进化,随着食物日益精细,关节周围的韧带、肌肉强度退化,易发生结构改变。
②急性创伤,包括重度的外力撞击、急速的大张口或咬合硬物,可导致韧带纤维局部撕裂。
③慢性创伤,包括牙列不齐、牙齿过度磨损、不良的义齿修复等咬合因素,以及偏侧咀嚼、夜磨牙、口呼吸等不良习惯,都可能引起关节运动异常,导致关节内部结构错位或肌肉劳损。
④心理社会因素,精神紧张、焦虑等可能会诱发神经肌肉功能的异常。此外,自身免疫因素也可能导致颞下颌关节疼痛。
·这些信号要警惕:
异响:张嘴/闭嘴时关节“咔哒、弹响”;
疼痛:耳前区域压痛,张嘴、咀嚼时下巴/脸颊疼;
受限:张嘴幅度变小,下巴歪向一侧。
·怎么治?
早期(疼痛、弹响、张口受限):优先用咬合板、理疗、灌洗、肌肉训练等保守治疗;
伴随骨质问题:坚持佩戴咬合板+定期复查影像
避免误区:别等“疼得受不了”再就医——儿童关节处于发育阶段,早干预能避免面容不对称、骨质损伤加重。
编辑:于雪
版权声明 新闻爆料热线:0535-6631311

