2025-12-29 10:58:33
来源:水母网
水母网12月29日讯(通讯员 王茜玮 李姝慧)王先生在八年前曾因上颌骨囊肿接受过手术。近半年来,他再次感到上颌前牙区不适,鼻腔不时出现异味。“最近总感觉鼻子有股说不出的味道,上牙床这里也胀胀的。”王先生在烟台市口腔医院口腔颌面外科向医生诉说着他的困扰。
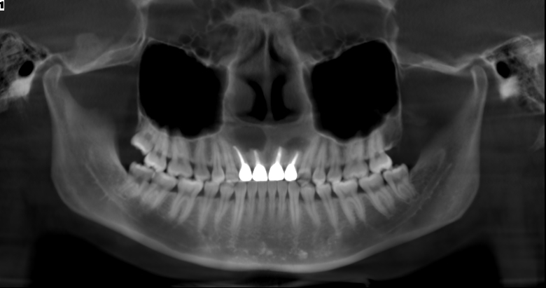
门诊X线片显示上颌骨存在低密度阴影,医生初步判断可能是囊肿复发。经过复查CBCT后,发现囊肿确实有所增大。“您看这里,这几个牙根周围出现了明显的阴影区,而且这个区域的骨壁已经变薄不连续了,这就是导致您鼻腔异味和肿胀感的根源。”医生指着三维影像向王先生解释道。检查发现,王先生口内前牙区有多个牙齿经过根管治疗和冠修复,其中一颗牙齿对应的唇侧黏膜可见小瘘管——这正是炎症向口腔内形成的“排脓通道”。
面对囊肿复发且伴有骨质破坏的情况,医疗团队与王先生进行了深入沟通:“您这种情况,我们需要将囊肿彻底切除,同时拔除这根已经形成病灶的牙齿,才能从根本上解决问题。”在完善术前评估后,医生为其实施了“上颌骨病损切除术+拔牙术”。手术中,医生在彻底清除囊肿的同时,精细地保护了周围健康的骨质结构。术后王先生欣慰地说:“那股异味终于消失了,肿胀感也没了,早知道就早点来看看了。”

疾病科普:认识颌骨牙源性囊肿
王先生的病例属于典型的牙源性囊肿,此类囊肿多起源于牙组织或与牙齿发育相关的结构。其中,根尖周囊肿是最常见的类型之一,多见于前牙区域。
形成原因与特点:
根尖周囊肿通常源于一颗“有问题”的牙齿——例如存在深龋、残根或是牙神经已坏死的“死髓牙”。长期的慢性炎症刺激,导致牙根周围的炎性组织(肉芽肿)中央发生液化,并逐渐被囊壁包裹,形成内含液体的囊腔。这类囊肿生长缓慢,早期往往没有自觉症状,多在常规拍片时偶然发现。若任其发展,可能造成骨质膨胀、面部变形,甚至继发感染。
对于颌骨囊肿,临床有多种成熟的治疗方法:
1.刮治术:彻底刮除囊壁,适用于大多数良性囊肿。
2.开窗减压术:通过制造引流口,减小囊内压力,促进周围骨质再生,常用于大型囊肿的初期处理。
3.颌骨部分切除术:适用于范围广泛或具有侵袭性的病变。
烟台市口腔医院专家提醒,对于曾有颌骨囊肿病史的患者,或口腔内存在长期未治疗的坏牙、残根时,应保持警惕,定期进行口腔检查。当出现颌骨无痛性膨大、鼻腔异味或牙龈反复出现小脓包(瘘管)时,应及时就医,通过X线或CBCT检查明确诊断,并接受规范治疗,以防病变进一步发展。

编辑:于雪
版权声明 新闻爆料热线:0535-6631311

