2025-12-18 10:45:25
来源:水母网
水母网12月18日讯(通讯员 王茜玮 李姝慧)“医生,我右边后牙这里断断续续疼了一年,最近疼得晚上都睡不着。”17岁的高中生张新捂着半边脸,在烟台市口腔医院口腔颌面外科诊室里说道。
一年多来,张新一直被右下后牙区的反复肿痛所困扰。他曾在当地医院拍片,发现颌骨内有异常阴影,但因学业忙碌一直拖着没有处理,直到最近疼痛严重影响咀嚼和睡眠,他才下定决心来到烟台市口腔医院寻求系统治疗。

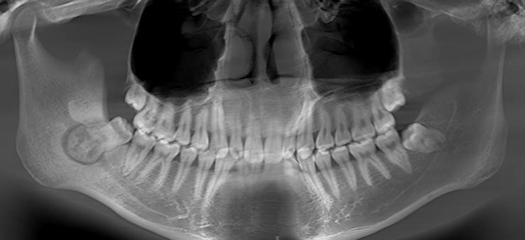
医生仔细检查后发现,张新右下方的智齿仅部分萌出,周围牙龈红肿,轻叩即痛。关键的线索藏在影像片里——CBCT检查显示,在那颗“不老实”的智齿牙根下方,紧贴着一个类圆形的高密度肿物,大小约13*14毫米。棘手的是,这个肿物与承载下唇感觉神经的下颌神经管几乎“粘”在了一起。
“这个位置很特殊,传统手术容易伤到神经,可能导致术后下唇长期麻木。”医生指着三维影像解释道。经过讨论,医疗团队决定借助动态导航辅助手术。手术当天,在如同“手术GPS”的导航系统实时引导下,医生如同拥有了“透视眼”,顺利避开了重要神经,精准地切除肿瘤、拔除智齿。术后张新恢复顺利,疼痛消失,保住了下唇的正常感觉,而病理证实为骨样骨瘤——一种好发于青少年群体的良性肿瘤。
疾病科普:骨样骨瘤
骨样骨瘤是一种好发于青少年的良性骨肿瘤,虽多见于长骨,但也可能发生于下颌骨。其典型症状为局部疼痛,且夜间疼痛可能加重。X线或CT上常表现为边界清晰的圆形高密度影,周围可有硬化带。手术完整切除后预后良好,复发率低。
技术亮点:动态导航技术
在本例高风险手术中,动态导航技术发挥了关键作用。该技术将患者术前的三维影像数据与术中的实际操作实时匹配,让医生在屏幕上“透视”骨骼内部的精细结构,从而实现对病灶的毫米级精准切除和对重要神经的完美规避,极大提升了复杂颌骨手术的安全性和微创性。
烟台市口腔医院专家提示:青少年若出现颌骨局部反复、夜间加重的疼痛,或发现不明原因的颌骨肿胀,应及时就医进行影像学检查,以排除骨肿瘤等疾病可能。

编辑:于雪
版权声明 新闻爆料热线:0535-6631311

