2025-12-18 10:43:44
来源:水母网
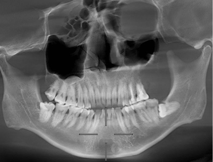
水母网12月18日讯(通讯员 王茜玮 李姝慧)五年前,曲先生因颌骨肿物在当地进行了手术切除,病理诊断为成釉细胞瘤。两年前复查时,发现原手术区再次出现异常阴影,开窗手术后确诊复发。如今,曲先生的病情达到需要再次干预的程度,于是他带着一份“厚重”的手术史,专程来到烟台市口腔医院寻求进一步治疗。
入院后,医生团队为曲先生进行了全面的检查与评估。鉴于成釉细胞瘤具有局部侵袭性和较高复发风险的特点,医疗团队制定了针对性的手术方案,为其进行了肿物切除手术。术后,曲先生恢复情况良好,目前正在康复随访中。

认识成釉细胞瘤:颌骨的“顽固”良性肿瘤
成釉细胞瘤是一种主要发生于颌骨的牙源性肿瘤,虽然被归类为良性,但其生长具有局部侵袭性,且术后复发率较高。该病多发于青壮年,初期往往没有明显症状,随着肿瘤缓慢生长,可能出现颌骨膨大、面部不对称、牙齿松动移位等情况。若肿瘤压迫神经,还可能引起下唇或面颊麻木;若体积过大,甚至可能影响吞咽、咀嚼功能。
为何容易复发?如何治疗?
成釉细胞瘤约占所有牙源性肿瘤的60%以上,其复发主要与肿瘤本身的侵袭性生长方式有关。目前常用的手术方式主要有三种:
1. 刮治术:可保存颌骨,但复发率相对较高
2. 切除术:范围较彻底,但对颌骨结构和功能影响较大
3. 开窗减压术+二期手术:通过分期治疗,在控制肿瘤的同时尽量保留颌骨
治疗选择需根据患者年龄、肿瘤位置、病变范围和性质等因素综合考虑,在确保治疗效果的基础上,尽可能恢复颌面部的形态与功能。烟台市口腔医院专家提醒,对于成釉细胞瘤患者,术后定期复查至关重要,早发现、早干预是控制病情的关键。

编辑:于雪
版权声明 新闻爆料热线:0535-6631311

