2026-01-12 11:02:32
来源:烟台市口腔医院
水母网1月12日讯(通讯员 王茜玮 李姝慧)“医生,我家孩子上面的门牙还没长出来,是不是有什么问题?”半个月前,于女士带着6岁的女儿,在当地医院检查,拍片发现上颌骨内竟藏着一颗额外牙齿。怀着忐忑的心情,母女俩来到了烟台市口腔医院寻求进一步诊治。
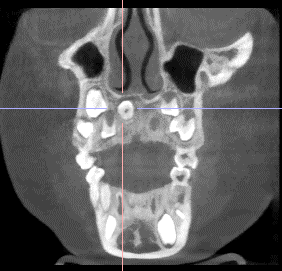
通过CBCT三维扫描,医生更清晰地看到了问题的全貌:“您看,孩子正常门牙的牙根下面,倒着长了一颗额外的牙齿。它就像个‘小捣蛋鬼’,不仅紧贴着正常牙齿的牙根,还挨着鼻腔底部。”医生指着屏幕耐心解释,“如果不及时处理,它可能会影响正常牙齿的萌出方向,甚至导致牙根发育异常。”

面对这个紧邻重要解剖结构的埋伏牙,医疗团队决定采用“数字化导板”辅助的微创方案。医生进一步说明:“我们会根据孩子的CT数据,专门制作一个‘导航导板’。这样在手术时,就能像用GPS导航一样,精准找到这颗牙齿的位置,最大程度地保护周围的正常组织。”手术当天,在精密的导板引导下,医生通过微小的切口,顺利取出这颗“不速之牙”。整个过程就像进行了一场精密的“排雷”作业。术后孩子恢复良好,妈妈欣慰地说:“现在放心了,就等着正常牙齿好好长出来了!”
健康科普:
认识儿童额外牙与数字化导板技术
什么是额外牙?
额外牙,俗称“多生牙”,是指在正常牙齿数目之外多长出的牙齿。它最常见于上颌前牙区,通常是先天发育异常所致。这颗多余的牙齿如果长期存留,可能会阻碍正常牙齿的萌出、导致牙列拥挤、甚至引起邻牙牙根吸收等问题。
为何需要治疗?
如本病例所示,埋伏的额外牙尤其是位置较深的,就像埋在颌骨里的“定时炸弹”,若不及时处理,可能会对邻近恒牙的牙根发育造成不可逆的损伤,可能会穿破鼻底黏膜进入鼻腔,或影响整个牙弓的正常排列。因此,早期诊断与适时干预至关重要。
技术优势:数字化导板辅助手术
在复杂埋伏牙的拔除手术中,数字化导板技术展现了显著优势:
1.精准定位:如同“手术导航仪”,帮助医生在术中避开重要的神经、血管及邻牙牙根,实现毫米级精准操作。
2.微创安全:通过术前规划最佳手术入路,显著减小手术创伤,保护周围健康组织,有利于术后恢复。
3.提高效率:手术路径明确,缩短手术时间,尤其适合配合度有限的儿童患者。
烟台市口腔医院专家提示,儿童在替牙期(约6-12岁)若出现恒牙迟萌、乳牙滞留或牙齿排列异常等情况,建议及时到正规医院进行专业检查,必要时拍摄X光片,以排除额外牙等隐匿问题。早期发现、精准干预,能为孩子的牙齿正常发育提供最佳保障。

编辑:于雪
版权声明 新闻爆料热线:0535-6631311

