2025-12-12 16:18:14
来源:烟台市口腔医院
水母网12月12日讯(通讯员 徐驰 刘桐舒 李姝慧)25岁的王女士从未想过,一次常规的口腔检查帮她化解了颌骨中存在的“隐形危机”。
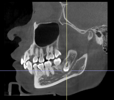
两周前,她来到烟台市口腔医院进行常规检查。在门诊检查中,王女士面部对称,口腔内左侧后牙区域的牙齿外观正常,没有疼痛或松动,牙龈也无红肿表现。然而X光片却显示左侧下颌骨存在异常肿物。进一步的高清CBCT检查揭示了隐藏危机:一颗近中倒置的智齿完全埋伏在颌骨内,其牙冠不仅紧贴前一颗牙的牙根,还紧邻着重要的下颌神经管。更严重的是,这颗“沉睡”的智齿周围已形成含牙囊肿,正在悄然侵蚀下颌骨。

这一病例的典型之处在于其“隐匿性”:智齿引起的邻牙牙根吸收和颌骨破坏已在无声中进行,但患者本人却毫无自觉症状,口内检查也难以发现异常。
医疗团队为她制定了精准的手术方案:在全麻下实施“左下颌骨病损切除术+阻生牙拔除术”。手术成功清除了囊肿并拔除了“肇事”智齿,同时尽可能保留了相邻的牙齿。术后王女士恢复顺利,因肿物紧贴神经导致的下唇麻木,也会随着时间逐渐恢复。
警惕口腔内的“沉默破坏者”
王女士的经历并非个例。埋伏阻生智齿,尤其是完全埋在颌骨内的智齿,就像一颗“定时炸弹”,常常在患者毫无察觉的情况下引发问题:
邻牙遭殃:可能顶坏前一颗牙齿(第二恒磨牙)的牙根,导致其松动、疼痛甚至脱落。
颌骨破坏:可能形成含牙囊肿,逐渐侵蚀颌骨,严重时甚至可能导致病理性骨折。
神经压迫:如果位置贴近下颌神经管,可能引起下唇麻木或增加手术风险。
许多口腔疾病在早期都没有明显症状。通过定期的口腔检查及必要的X光片(如全景片或CBCT),可以及早发现埋伏阻生牙、囊肿等隐匿问题。专家提醒,早期诊断与干预,能够避免像邻牙严重吸收、颌骨大面积破坏等复杂且代价更高的并发症,真正实现“小处理,防大患”。建议成年人每年至少进行一次专业的口腔检查。
科室地址:莱山区逛荡河东路1866号7楼
科室电话:0535-6089371 0535-6087366
编辑:于雪
版权声明 新闻爆料热线:0535-6631311

