2025-11-26 16:36:32
来源:水母网
水母网11月26日讯(通讯员 王茜玮 李姝慧)“原以为是普通牙痛,没想到拖了三个月,竟查出颌骨骨髓里有炎症!”36 岁的王女士回想这段就医经历,仍心有余悸。日前,她在烟台市口腔医院口腔颌面外科病房接受治疗后,困扰已久的面部肿痛终于缓解,而且手术是通过口内切口完成,也避开了面部留疤的风险。
事情要从三个月前说起。当时王女士用刮痧板清洁右侧面部后,右侧脸颊开始持续肿痛,还牵连右下后牙隐隐作痛,甚至伴随着发热症状。“一开始觉得就是上火引发的牙痛,在诊所输了几天液、吃了消炎药,疼是轻了点,但脸肿一直没消。” 王女士说,一个月前右颌下突然出现一个柔软的“鼓包”,而且迟迟不消,这下她慌了神,赶紧来到烟台市口腔医院口腔颌面外科门诊就诊,寻求专业帮助。


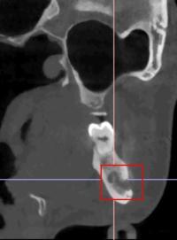
医生检查发现,王女士右侧下颌体部区域有明显包块,周围皮肤发红、肿胀,按压时有疼痛感。口腔内检查显示她存在多颗龋坏牙齿和残根,其中几颗叩击痛明显。拍摄的X光片进一步揭示了问题所在:她的下颌骨深处有一片不规则的“阴影区”,而且这个病灶离下颌骨里重要的神经血管非常近,若再拖延,可能会损伤神经,甚至导致面部变形。
结合临床表现和影像学检查,医生诊断王女士患有“下颌骨骨髓炎”—— 这是一种颌骨被细菌感染引发的炎症,就像骨骼被 “虫蛀” 一样,若不及时清除感染,炎症会持续破坏骨组织。病房医疗团队立即制定了综合治疗方案:首先进行抗感染治疗,控制炎症发展;随后进行手术清创,彻底刮除受感染的死骨组织。“考虑到王女士对外观的顾虑,我们特意选择从口内做切口,避免术后脸上留疤。”口腔颌面外科病房主任孙超解释说。
经过系统治疗,王女士的病灶牙得到妥善处理,感染来源被彻底清除。如今她右侧面部的肿痛已基本消失,下颌下缘的红肿也退得干干净净,按压时再也没有疼痛感,日常生活逐渐恢复正常。
“很多人像王女士一样,把颌骨骨髓炎的早期症状误当成普通牙痛,觉得‘吃点药就能好’,结果越拖越严重。” 孙超提醒,若出现持续面部肿痛、牙齿松动、张口困难等症状,千万别盲目拖延,一定要及时到正规医院口腔科颌面外科就诊,早诊断、早治疗才能避免病情加重,减少对颌骨和面部外观的损害。
烟台市口腔医院口腔颌面外科病房是烟台市医疗卫生重点专科、山东省医药卫生重点学科,科室人才梯队合理,特聘北京大学口腔医院张建国教授担任名誉主任,省立医院口腔颌面外科专家定期来院进行指导、会诊。

编辑:于雪
版权声明 新闻爆料热线:0535-6631311

